[最も共有された! √] 歯肉炎 歯磨き 血を出す 297771-歯肉炎 歯磨き 血を出 す
歯周病 Part 3 歯を磨くと出血するのは なぜ? vol49 | 歯磨きをすると歯肉から出血します。 どうしてでしょうか? 主な原因は2つ考えられますが、原因の多くは歯肉に炎症(歯肉炎や歯周炎)があるためです。 歯と歯肉の堺目に歯垢が溜まると歯肉
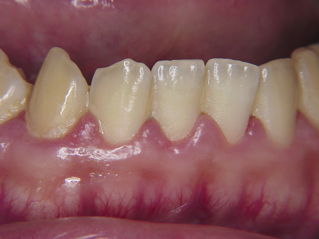
歯肉炎 歯磨き 血を出す-歯肉炎 歯肉炎は歯肉(歯ぐき)に炎症(赤く腫れる)がある状態です。 歯と歯の間や歯と歯肉のすき間にたまった歯垢や歯石が原因で歯肉炎は起こります。 歯周炎 歯を支えている歯槽骨(しそうこつ)が炎症によって破壊される病気です。 1丁寧な歯磨き 毛先の細い歯ブラシで、歯と歯茎の間に歯ブラシの毛先を入れるようにして、毎日丁寧な歯磨きを行うようにしましょう。 歯肉炎の直接的な原因となるのは、口腔内に常在する菌たちです。 それらを取り除くことによって炎症を治すため
歯肉炎 歯磨き 血を出すのギャラリー
各画像をクリックすると、ダウンロードまたは拡大表示できます
![]() | ![]() | |
![]() | ![]() | |
![]() | ![]() | |
![]() | ![]() | ![]() |
「歯肉炎 歯磨き 血を出す」の画像ギャラリー、詳細は各画像をクリックしてください。
![]() | ![]() | ![]() |
![]() | ![]() | |
![]() | ![]() | ![]() |
![]() | ![]() | ![]() |
「歯肉炎 歯磨き 血を出す」の画像ギャラリー、詳細は各画像をクリックしてください。
![]() | ![]() | ![]() |
![]() | ||
![]() | ![]() | |
![]() | ![]() | ![]() |
「歯肉炎 歯磨き 血を出す」の画像ギャラリー、詳細は各画像をクリックしてください。
![]() | ![]() | ![]() |
![]() | ![]() | ![]() |
![]() | ![]() | |
![]() | ![]() | ![]() |
「歯肉炎 歯磨き 血を出す」の画像ギャラリー、詳細は各画像をクリックしてください。
![]() | ![]() | ![]() |
![]() | ![]() | |
![]() | ![]() | ![]() |
![]() | ![]() | |
「歯肉炎 歯磨き 血を出す」の画像ギャラリー、詳細は各画像をクリックしてください。
![]() | ![]() | ![]() |
![]() | ![]() | ![]() |
![]() | ![]() | ![]() |
![]() | ![]() | |
「歯肉炎 歯磨き 血を出す」の画像ギャラリー、詳細は各画像をクリックしてください。
![]() | ![]() | ![]() |
![]() | ![]() | ![]() |
![]() | ![]() | ![]() |
![]() | ![]() | |
「歯肉炎 歯磨き 血を出す」の画像ギャラリー、詳細は各画像をクリックしてください。
![]() | ![]() | ![]() |
![]() | ![]() | ![]() |
![]() | ![]() | |
![]() | ![]() | |
「歯肉炎 歯磨き 血を出す」の画像ギャラリー、詳細は各画像をクリックしてください。
![]() | ![]() | ![]() |
![]() | ![]() | ![]() |
![]() | ![]() |
歯肉は薄いピンク色をして、引き締まった状態です。歯周ポケットは1~3mmと、問題のない深さです。 P1 歯肉炎 歯肉が赤く腫れ、歯磨きをすると出血することがあります。しかし、自覚症状はほとんどありません。歯周ポケットの深さは3~4mmほどです。 歯磨きすると歯肉から出血することがあり、ふと歯ブラシを見て血液が付着していると驚いてしまうでしょう。 この場合、可能性として最も高いのは歯周病です。 なぜなら歯磨き時の歯肉からの出血は歯周病の自覚症状の代表的な一つであり、 ここでは
Incoming Term: 歯肉炎 歯磨き 血を出す,

























































































コメント
コメントを投稿